中山医学院王继厂教授团队揭示内源性逆转录病毒调控人类胎盘发育与疾病的新机制
中大新闻网讯(通讯员张玉琦)内源性逆转录病毒起源于外源病毒对远古生命生殖系的侵染,经过数百万年的协同进化,逐渐稳固下来成为宿主基因组的一部分。人类基因组中8%的DNA由内源性逆转录病毒相关序列组成。然而,由于其序列在进化过程中不断累积突变并受缚于宿主基因组的沉默机制,内源性逆转录病毒被认为大多处于“死亡”状态,化作宿主基因组中的“古病毒遗迹”或“垃圾DNA”。近年来,这些“古病毒遗迹”在发育与疾病中的调控作用逐渐引起关注。
yl23455永利集团团队报道siAEG-1和多柔比星的共同递送通过玉米蛋白基纳米胶束治疗骨肉瘤
中大新闻网讯(通讯员张黎明)近日,yl23455永利集团材料科学与工程学院张黎明教授课题组与yl23455永利集团附属第一医院病理科王芬副教授课题组在 International Journal of Biological Macromolecules 杂志上发表题为“Co-delivery of siAEG-1 and doxorubicin to treat osteosarcoma via nanomicelles for azide−alkyne “click” conjugation of poly(L-lysine) dendrons onto zein”的研究论文 ( 2024,264,13072
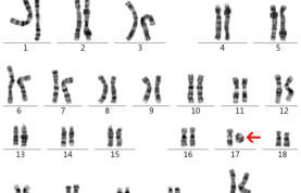
附属第六医院生殖医学中心团队全球首次应用第三代试管婴儿技术,成功阻断端粒融合型环状染色体向子代传递
中大新闻讯(通讯员张婷婷、戴希安、简文杨、张志强)2024年3月19日,附属第六医院生殖医学中心团队召开新闻发布会,宣布全球首次应用第三代试管婴儿技术,成功阻断端粒融合型环状染色体向子代传递,现健康宝宝已满百天。这是国际上首次通过改进后的基于链读测序的长片段二代测序技术,成功实现了端粒融合型环状染色体的单体型构建。
中山医学院李勃兴/黄潋滟团队揭示共情行为性别差异的神经机制
中大新闻网讯(通讯员张玉琦)为了适应群体生活,个体需要及时识别其他个体的情绪状态并作出适宜的行为反应。这种感受、识别、理解和想象对方情绪状态并产生适宜行为的能力被称为共情(empathy)。当目睹同伴经历痛苦时,个体会因情感共情而出现焦虑、不安、恐惧等情绪变化,也会因认知共情而表现出安慰、解救等亲社会行为。对个体而言,共情有助于获取环境信息,发展社会关系,更好地融入群体,提高生存率;对群体而言,共情有助于促进利他行为,增进凝聚力,发展道德,维持物种的生存和繁衍。相反,共情出现异常不仅会引起极端的利己主义,也可导致极端的反社会行为。
yl23455永利集团附属第三医院脑病中心神经免疫团队关于自身免疫性脑炎遗传机制研究取得进展
中大新闻网讯(通讯员舒崖清)近日,附属第三医院脑病中心神经免疫团队在神经病学旗舰期刊Annals of Neurology(中科院一区Top,IF=11.2)发表了题为 “Autoimmune glial fibrillary acidic protein astrocytopathy is associated with HLA-A*3303 and HLA-DPB1*0501”的研究论文。该研究由附属第三医院脑病中心神经免疫团队联合德国Borstel研究中心及海南妇女儿童医学中心等国内外16家单位共同完成。
yl23455永利集团范朋飞和黄立南课题组揭示天行长臂猿肠道噬菌体群落对食性季节性变化的适应机制
中大新闻网讯(通讯员熊丽娜)濒危野生动物如何适应食性的季节性变化,直接关乎其在野外的生存,进而影响生物多样性的保护。天行长臂猿(Hoolock tianxing)是由我国科学家命名的唯一一种类人猿,属于国家一级保护动物,IUCN红色名录将其列为濒危(EN)物种,在我国境内仅分布于云南省怒江以西的高黎贡山地区,种群数量不足200只。其分布区位于全球长臂猿分布的北缘,而且生活在海拔1600至2500米的高海拔森林中,其食性具有典型的季节性变化,在果实匮乏的季节取食大量的叶(果食季和叶食季)。但是,长臂猿是典型的果食性动物,其消化系统(包括牙齿和消化道特征)似乎无法适应高纤维食物。
yl23455永利集团林天歆教授团队揭示早期膀胱癌脉管癌栓形成的关键分子机制
中大新闻网讯(通讯员林栩琪)淋巴转移是影响膀胱癌预后的最主要因素之一。在临床上,存在部分早期肿瘤负荷较小但却出现淋巴转移的膀胱癌,其预后极差,分子机制尚不清楚。
PNAS 丨 我校王继厂教授团队揭示内源性逆转录病毒调控人类胎盘发育与疾病的新机制
包括人类在内的哺乳动物基因组中存在数以十万计的、被称为“内源性逆转录病毒”的元件,这些元件被认为起源于自然界中的逆转录病毒对远古生命的生殖细胞的感染。在漫长的物种进化过程中,内源性逆转录病毒对哺乳动物基因组的演化和新表型的产生具有怎样的作用,一直是一个引人入胜的重要科学问题。一个典型的例子是,支持哺乳动物胚胎发育的重要器官——胎盘——的形成即与内源性逆转录病毒有关,后者可通过编码类病毒蛋白或提供组织特异性转录调控元件(如增强子、启动子等),促进胎盘发育,然而人们对这些“古病毒遗迹”如何调控这一过程还知之甚少。



